تسجيل الدخول

من أول ما بتدخل عيادة دكتور فتحي أحمد شحاتة لطب الأسنان بتحس إنك داخل بيتك مش مجرد مكان للعلاج، الاستقبال هنا بيستقبلك بابتسامة صافية وباهتمام حقيقي بتاريخك الطبي وأي حساسية ممكن تكون عندك عشان يبقوا ضامنين راحتك وسلامتك من أول لحظة. الديكور مودرن وألوانه مريحة، والإضاءة موزعة بعناية على المرايا والكراسي فحتى لو كنت حاسس بتوتر شوية هتلاقي نفسك بتسترخي بسرعة وانت قاعد تستنى دورك.

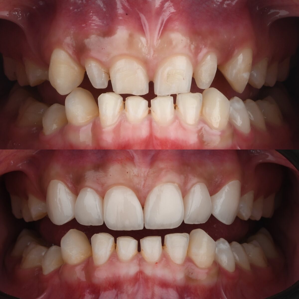
الممارسة الفعلية بتبدأ بفحص شامل باستخدام كاميرا داخل الفم وأشعة رقمية بيسموها بانورامي، الصورة بتظهر قدامك على الشاشة لحظة بلحظة وبيوضحوا لك إيه المشكلة في السن أو اللثة بطريقة مبسطة وبالعامية المصرية، بعيد عن المصطلحات المعقدة. ده بيخليك تشارك في قرار العلاج وتكون ملم بكل خطوة هتمر بيها. الدكتور فتحي أحمد شحاتة عنده خبرة طويلة في علاج مشاكل التسوس وتنظيف الجير، فبيقدر يحدد لك أفضل الأساليب للحفاظ على صحة أسنانك مع مراعاة تفاصيل يومك وروتينك.

بعد الكشف بييجي دور تنظيف الأسنان العميق، والعلاج بيتم بجهاز الموجات فوق الصوتية اللي بيكسر الرواسب الجيرية والبلاك من تحت اللثة وعلى السطح الخارجي للأسنان بلطف ومن غير ألم، وبعدها بيمرروا مرحلة التلميع بمعجون طبي خاص بيرجع نظارة المينا ونعومتها. خلال الجلسة هتاخد نصائح عملية عن أفضل فرشاة ومعجون وخيط أسنان يناسب حالتك عشان تحافظ على النتيجة في البيت وتحمي لثتك من الالتهابات.

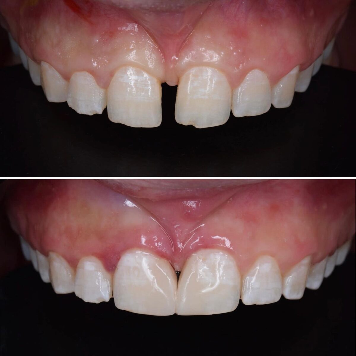
في حالة التسوس، عيادة دكتور فتحي بتعالجك بحشوات تجميلية من مادة الكومبوزيت عالية الجودة اللي لونه شبه لون السن الطبيعي، والإجراء كله بيكون تحت مخدر موضعي سريع المفعول علشان تحس براحة تامة. بعد الحشو بيعملوا أشعة متابعة رقمية بسيطة للتأكد من ثبات الحشوة ومافيش أي فجوات بتتجمع فيها البكتيريا، وده بيضمنلك نتيجة ثابتة تدوم لفترة طويلة.

للي بيفكروا في تبييض الأسنان، العيادة بتوفر تبييض احترافي في الجلسة الواحدة أو جلستين حسب حساسية لثتك، باستخدام جل مركز وتنشيط ضوء خاص بيظهر النتائج من أول مرة. وبيسلموك بعد كده جل منزلي مع تعليمات واضحة عن عدد الدقائق وكميات الجل المسموح بيها يومياً، وكمان بينصحوك بالأطعمة والمشروبات اللي تقلل من التصبغات عشان يحافظوا على البياض لأطول فترة ممكنة.

لو محتاج تقويم لترتيب أسنانك بشكل طبيعي، هتلاقي في دكتور فتحي خيارات متنوعة بين التقويم المعدني التقليدي والتقويم الشفاف اللي شبه مخفي وبيريحك في الأكل والتنظيف. التقويم الشفاف بينعمل بشرائح بلاستيكية بتركب وتتفك بكل سهولة، وبيتم عمل مسح رقمي ثلاثي الأبعاد لترتيب خطة العلاج وعدد الشفافات المطلوبة، والمتابعة بتكون كل أربع أسابيع أو حسب حركة أسنانك الفعلية، وده بيخلي العلاج يمشي بانتظام وفي الميعاد المتوقع.

وبالنسبة لزراعة الأسنان، الدكتور فتحي بيتعاون مع معامل معتمدة عشان التيتانيوم المستخدم يكون بجودة عالمية، وبيستخدمون أشعة مقطعية للتأكد من صلابة عظم الفك قبل وبعد أي إجراء ترقيع عظمي لو احتاج الأمر. العملية بتتم تحت تخدير موضعي وباستخدام مجهر جراحي دقيق يقلل التورم ويسرّع الشفاء، والمتابعة لغاية ما الغرس يستقر وتقدر تمضغ كويس.

العناية بلثة الأسنان بتنقسم في العيادة لجلسة تنظيف جيوب اللثة تحت تخدير موضعي لو كان في التهاب، وتطبيق مضاد حيوي موضعي لو لزم الحال. وبعد الجلسة بيحطولك خطة صيانة بفحص وتنظيف كل ٣ لست شهور حسب حالة لثتك، وده بيساعد في منع أي التهابات ترجع تاني ويحافظ على صحة الفم والأسنان على المدى البعيد.

لو مقبل على مناسبة مهمة زي فرح أو حفلة، العيادة بتجهز لك باقات خاصة بتشمل فحص شامل وتنظيف عميق وتبييض تجميلي قبل اليوم الكبير، مع نصائح عملية لروتين العناية اليومي في البيت والمنتجات اللي ينصح باستخدامها عشان يكون يومك مميز بابتسامة مشرقة. الباقة دي بتضمن كمان متابعة بعد المناسبة لضبط أي حاجة بسيطة من غير تكاليف إضافية.

كل أدوات العيادة بتتعقم في الأوتوكلاف قبل وبعد كل استخدام، والغرف بتنضف وتتطهر بالكامل بعد كل مريض باستخدام مطهرات معتمدة، فالأمان الصحي هنا مش شعار وخلاص لكن ممارسة يومية. والإضاءة الدافئة والموسيقى الهادية بتساعدك ترتاح نفسياً طول فترة العلاج.

مواعيد دكتور فتحي أحمد شحاتة مرنة من الصبح لحد المغرب وحتى السبت للضرورة، والحجز سهل عن طريق التلفون أو الواتساب أو الموقع الإلكتروني. ولو اضطريت تأجل موعدك ممكن تعمل ده قبل ٢٤ ساعة من غير أي رسوم، والأسعار شفافة وواضحة من البداية علشان تعرف التكلفة كاملة قبل أول إجراء.

في النهاية، عيادة دكتور فتحي أحمد شحاتة لطب الأسنان بتجمع بين أحدث التقنيات والخبرة الطويلة والأسلوب الإنساني الدافيء، فلو بتدور على علاج مريح وشامل لتنظيف وحشو وتبييض وتقويم وزراعة وعلاج اللثة، احجز مع دكتور فتحي واستمتع برحلة علاجية متكاملة تضمن لك ابتسامة صحية ومشرقة تدوم.

مكان الخدمة:

تقييمات الخدمة:

4.8
تقييم 52
  • Sara Mohsen
    Sara Mohsen
    قبل شهرين

    دكتور فوق الممتاز والاستف كويس جدا والمقابلة حلوه وكلهم زوق بصراحه ❤️

  • Habeba Mokhtar
    Habeba Mokhtar
    قبل شهرين

    من أحسن الدكاتره ضمير واهتمام بجد ربنا يباركله والعياده حلوه ونضيفه جدا

  • Mayar Khaled
    Mayar Khaled
    قبل شهرين

    من احسن الدكاتره

  • Hager Gamal
    Hager Gamal
    قبل شهرين

    كانت تجربتي في عيادة الدكتور فتحي للأسنان رائعة. العيادة نظيفة وحديثة ومنظمة للغاية. طاقم العمل ودود ومهني، ويحرص دائمًا على راحتي أثناء زيارتي. الدكتور فتحي يتمتع بمهارة عالية، وقد شرح لي كل خطوة من خطوات العملية بوضوح، مما خفف من قلقي. أنا سعيد جدًا بالنتائج، وأوصي بهذه العيادة بكل تأكيد لأي شخص يبحث عن رعاية أسنان ممتازة.

  • Tesco
    Tesco
    قبل شهرين

    بصراحه العيادة فوق الممتازة زوق واحترام ومجهود ربنا يبارك فيهم يارب ويبارك ف الدكتور يارب قمه الاخلاق

طلب توثيق وإدارة الصفحة

قدّم طلبك لتوثيق وإدارة النشاط!

عدّل بيانات صفحتك علشان تعكس شغلك الحقيقي بكل تفاصيله. خلّي تواصلك مع العملاء دايمًا حاضر وواضح. كمان تقدر ترفع صور لأعمالك علشان كل عريس وعروسة يشوفوا شغلك بعينيهم ويختاروك بثقة. وجودك المميز على المنصة هو مفتاح جذب العملاء، وكل تفصيلة بتفرق!
هيتم إنشاء حسابك تلقائيا من البيانات . إذا كان لديك حساب بالفعل ، من فضلك تسجيل الدخول.

ملء النموذج