تسجيل الدخول

مركز هلا من الأماكن اللي بقت معروفة جدًا في مجال طب وتجميل الأسنان، لأنه بيجمع بين الخبرة الكبيرة والدقة في الشغل وبين المعاملة الراقية اللي بتخلي كل زيارة تجربة مريحة ومضمونة. المكان متكامل ومجهز بأحدث الأجهزة اللي بتساعد في الكشف والعلاج بأعلى جودة، وده بيخليه من الاختيارات المفضلة لأي حد عايز يهتم بصحة أسنانه أو داخل على مناسبة مهمة زي الفرح.

الدكاترة في مركز هلا بيبدأوا دايمًا بالكشف الشامل على الأسنان واللثة باستخدام أجهزة دقيقة جدًا، وده بيساعدهم يعرفوا الحالة بالضبط ويحددوا أنسب خطة للعلاج أو التجميل. كل خطوة بتتعامل باهتمام وشرح واضح للمريض عشان يحس بالراحة ويفهم اللي بيتعمل في كل جلسة.

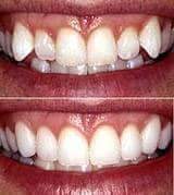
من أهم الخدمات اللي بيقدمها المركز جلسات التنضيف والتلميع اللي بتشيل الترسيبات والبقع اللي بتتكون مع الوقت وبتخلي الأسنان شكلها نضيف ولمعتها راجعة زي الأول. الخدمة دي بتكون ضرورية لأي حد داخل على مناسبة كبيرة، خصوصًا العرايس والعرايس الجُداد اللي عايزين ابتسامتهم تكون مشرقة وطبيعية في الصور.

كمان المركز بيقدّم جلسات تبييض الأسنان سواء بالليزر أو بالمواد التجميلية الحديثة، ودي من الخدمات اللي بقت أساسية لأي حد بيجهز نفسه قبل الفرح. النتيجة بتكون واضحة وسريعة وبتدي لون أبيض طبيعي من غير ما تسبب أي حساسية أو ضرر للأسنان. الدكتور بيحدد نوع التبييض المناسب لكل شخص حسب طبيعة أسنانه عشان النتيجة تطلع مثالية.

لو فيه أي مشاكل زي تسوس أو كسر بسيط، المركز بيستخدم الحشو التجميلي اللي لونه نفس لون السن الطبيعي، وده بيخلي الشكل النهائي متناسق جدًا. فيه كمان خدمات تجميلية متقدمة زي تركيب الفينير واللومينير اللي بيخلي الابتسامة شكلها متناسق وجذاب جدًا، ودي من أكتر الحاجات اللي الناس بتطلبها قبل الجواز لأنها بتدي ثقة وشكل راقي.

كمان مركز هلا بيهتم بعلاج اللثة وتنضيفها من الالتهابات والتصبغات، لأن شكل اللثة بيأثر جدًا على جمال الابتسامة. ولو الحالة محتاجة تقويم، المركز بيقدّم أحدث الأنواع سواء المعدني أو الشفاف اللي بيكون مريح وسهل جدًا في الاستخدام، وبيحقق نتيجة دقيقة.

العرايس والعرايس الجُداد ليهم اهتمام خاص في المركز، لأن فيه باقات مخصوصة قبل الفرح تشمل تلميع وتبييض سريع عشان الابتسامة تبقى جاهزة في أحسن شكل. وكمان الفريق هناك بيدي نصايح بسيطة لكن مهمة للحفاظ على النتيجة بعد الجلسة زي نوع المعجون والغسول اللي يناسب الأسنان والأكل اللي يفضل يتجنبوه.

اللي بيروح مركز هلا بيلاحظ فرق كبير في المعاملة والدقة، لأن المكان فعلاً بيهتم براحة المريض وجودة النتيجة. أي حد داخل على حياة جديدة أو عايز يحافظ على ابتسامته هيلاقي هناك المكان المثالي اللي يجمع بين الأمان والاحترافية والنتيجة اللي تفضل باينة في كل لحظة بثقة وراحة.

مكان الخدمة:

طلب توثيق وإدارة الصفحة

قدّم طلبك لتوثيق وإدارة النشاط!

عدّل بيانات صفحتك علشان تعكس شغلك الحقيقي بكل تفاصيله. خلّي تواصلك مع العملاء دايمًا حاضر وواضح. كمان تقدر ترفع صور لأعمالك علشان كل عريس وعروسة يشوفوا شغلك بعينيهم ويختاروك بثقة. وجودك المميز على المنصة هو مفتاح جذب العملاء، وكل تفصيلة بتفرق!
هيتم إنشاء حسابك تلقائيا من البيانات . إذا كان لديك حساب بالفعل ، من فضلك تسجيل الدخول.

ملء النموذج