تسجيل الدخول

من أول ما تدخل Royal Dental Care مع دكتور أحمد مجدي هتحس إنك داخل مكان بيجمع بين الفخامة والراحة والاحترافية. الاستقبال بيكون دايمًا بابتسامة، والجو العام هادي والإضاءة موزونة عشان تخليك تحس بالاطمئنان قبل ما تبدأ أي إجراء. فريق العمل ودود ومنظم، بيسجّل بياناتك بدقة ويسألك عن تاريخك الطبي وأي أدوية أو حساسية عندك عشان يضمنوا إن الخطة العلاجية مناسبة ليك 100%.

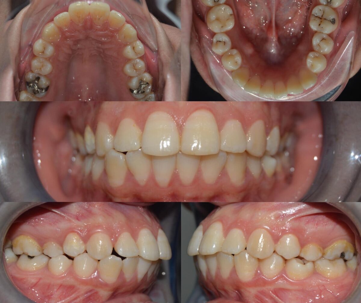
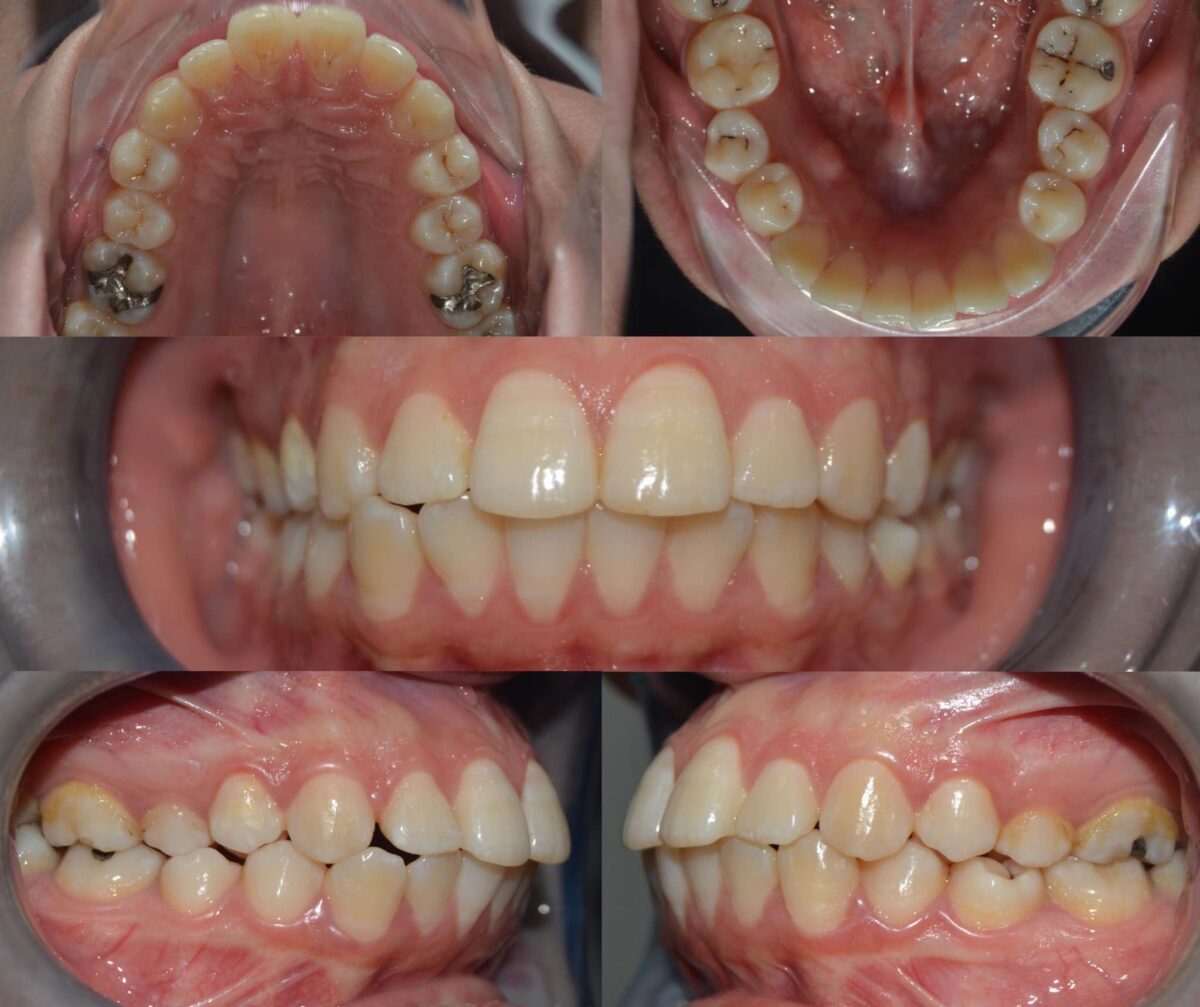
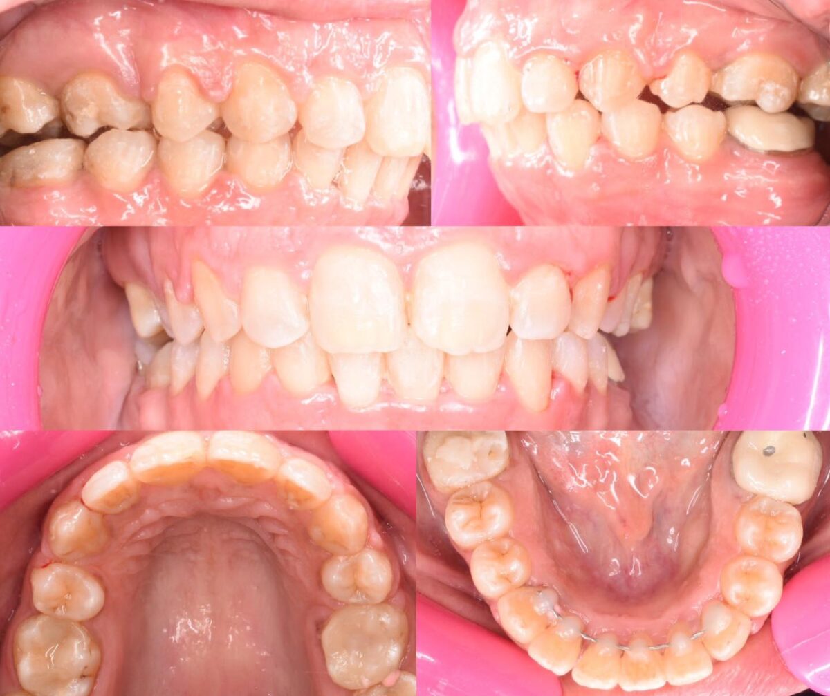
دكتور أحمد مجدي بيبدأ معاك بفحص شامل للأسنان واللثة، باستخدام أحدث الكاميرات اللي بتصور الفم من جوه وتعرض الصورة على شاشة قدامك، بحيث تشوف بنفسك المشاكل اللي محتاجة علاج. ولو الحالة تتطلب، بيعملوا أشعة بانورامية أو ثلاثية الأبعاد بتوضح أدق التفاصيل، وده بيساعد على وضع خطة علاجية دقيقة وفعالة. الأسلوب دا بيخليك شريك في قرار العلاج وفاهم كل خطوة قبل ما تبدأ.

لو هدفك تنظيف الأسنان، العيادة بتوفر جلسات تنظيف عميق باستخدام جهاز الموجات فوق الصوتية اللي بيشيل الجير والبلاك من غير أي ألم، وبعدها بيعملوا تلميع بمعجون طبي بيخلي الأسنان ناعمة وبتلمع. والأهم إنك بتاخد نصائح شخصية عن طريقة العناية اليومية، وأنواع الفرش والمعجون اللي تناسبك.

في حالة وجود تسوس، بيتم علاجه بحشوات تجميلية بنفس لون الأسنان، بحيث النتيجة تكون طبيعية جدًا وصعبة التمييز. العملية كلها بتكون تحت تخدير موضعي سريع المفعول عشان تكون مرتاح طول الجلسة. ولو محتاج تبييض أسنانك قبل مناسبة معينة، Royal Dental Care بيقدم جلسات تبييض احترافية بمواد آمنة وتقنيات إضاءة حديثة بتفتح لون الأسنان بشكل ملحوظ في وقت قصير، مع نصائح للحفاظ على النتيجة.

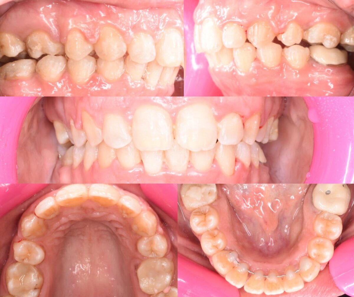
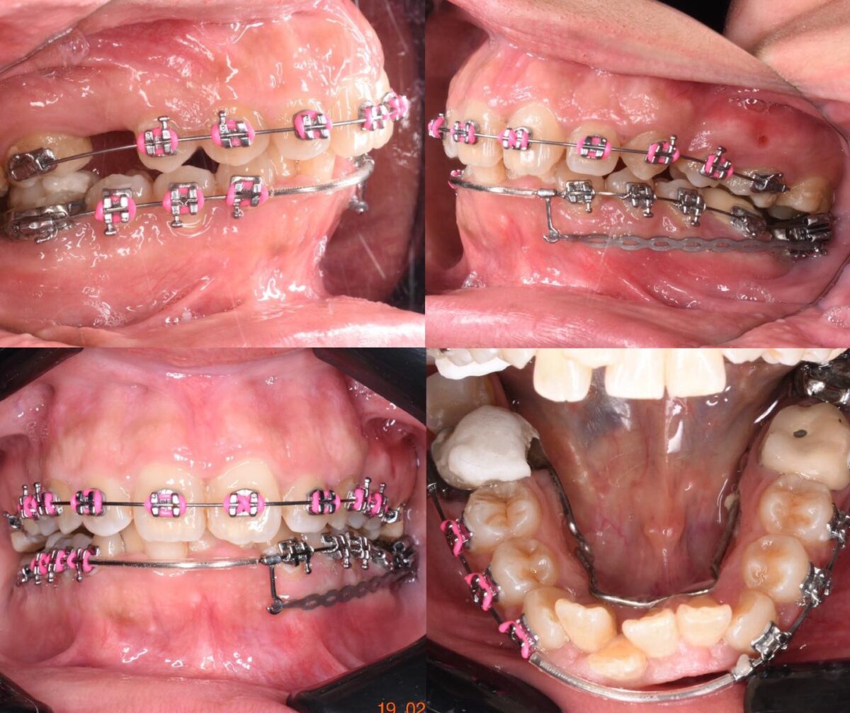
للي محتاجين تقويم، سواء معدني أو شفاف، العيادة بتوفر أحدث حلول التقويم المناسبة لكل حالة، مع متابعة دورية لضمان تقدم العلاج بالشكل المطلوب. وكمان لو في فقدان سن، بيتم تعويضه بزرعات أسنان من التيتانيوم المعتمد دوليًا بعد فحص شامل لعظام الفك وأشعة دقيقة، لضمان أفضل ثبات ونتيجة تدوم سنين.

صحة اللثة ليها نصيب كبير من الاهتمام هنا، بداية من علاج الالتهابات البسيطة لحد تنظيف الجيوب اللثوية بطرق متطورة، مع وضع خطة متابعة دورية تحافظ على لثتك صحية وتحمي أسنانك.

وللأشخاص المقبلين على الزواج، في باقات خاصة تشمل فحص شامل وتنظيف وتبييض قبل الفرح، عشان تطلع ابتسامتك مثالية قدام الكاميرات. التعقيم في العيادة بيتم على أعلى مستوى، باستخدام أجهزة الأوتوكلاف وتعقيم الغرف بعد كل مريض، لضمان بيئة آمنة 100%.

المواعيد مرنة، والحجز ممكن بسهولة عن طريق الاتصال أو الواتساب، والأسعار واضحة من الأول من غير أي مفاجآت. باختصار، مع دكتور أحمد مجدي في Royal Dental Care هتلاقي كل اللي تحتاجه عشان تحافظ على صحة أسنانك وتحصل على ابتسامة مثالية تجمع بين الجمال والصحة.

مكان الخدمة:

طلب توثيق وإدارة الصفحة

قدّم طلبك لتوثيق وإدارة النشاط!

عدّل بيانات صفحتك علشان تعكس شغلك الحقيقي بكل تفاصيله. خلّي تواصلك مع العملاء دايمًا حاضر وواضح. كمان تقدر ترفع صور لأعمالك علشان كل عريس وعروسة يشوفوا شغلك بعينيهم ويختاروك بثقة. وجودك المميز على المنصة هو مفتاح جذب العملاء، وكل تفصيلة بتفرق!
هيتم إنشاء حسابك تلقائيا من البيانات . إذا كان لديك حساب بالفعل ، من فضلك تسجيل الدخول.

ملء النموذج