تسجيل الدخول

من أول ما تدخل Drs/ Farha & Nada Dental Clinic هتحس إنك في مكان بيهتم براحتك وصحتك من اللحظة الأولى، وده من خلال تعامل راقي واستقبال دافئ بيخليك تحس إنك وسط ناس تعرفك من زمان. فريق الاستقبال بينظم بياناتك الطبية بدقة، ويسألك عن أي أدوية أو أمراض مزمنة أو حساسية عشان يضمن إن كل خطوة علاجية مناسبة لحالتك 100%. المكان نفسه مصمم بديكور عصري وألوان مريحة وإضاءة هادية تقلل أي توتر قبل الكشف.

الفحص في العيادة بيبدأ باستخدام أحدث أجهزة الكاميرات الرقمية اللي بتعرض صور أسنانك على الشاشة قدامك، وده بيخليك تشوف الحالة بنفسك وتفهم كل حاجة قبل ما تبدأ أي علاج. ولو محتاج تشخيص أدق، فيه أجهزة أشعة بانورامية وثلاثية الأبعاد عشان الخطة العلاجية تكون دقيقة جدًا. الدكاترة هنا بيشرحوا كل خطوة بأسلوب بسيط يخليك مطمّن وفاهم.

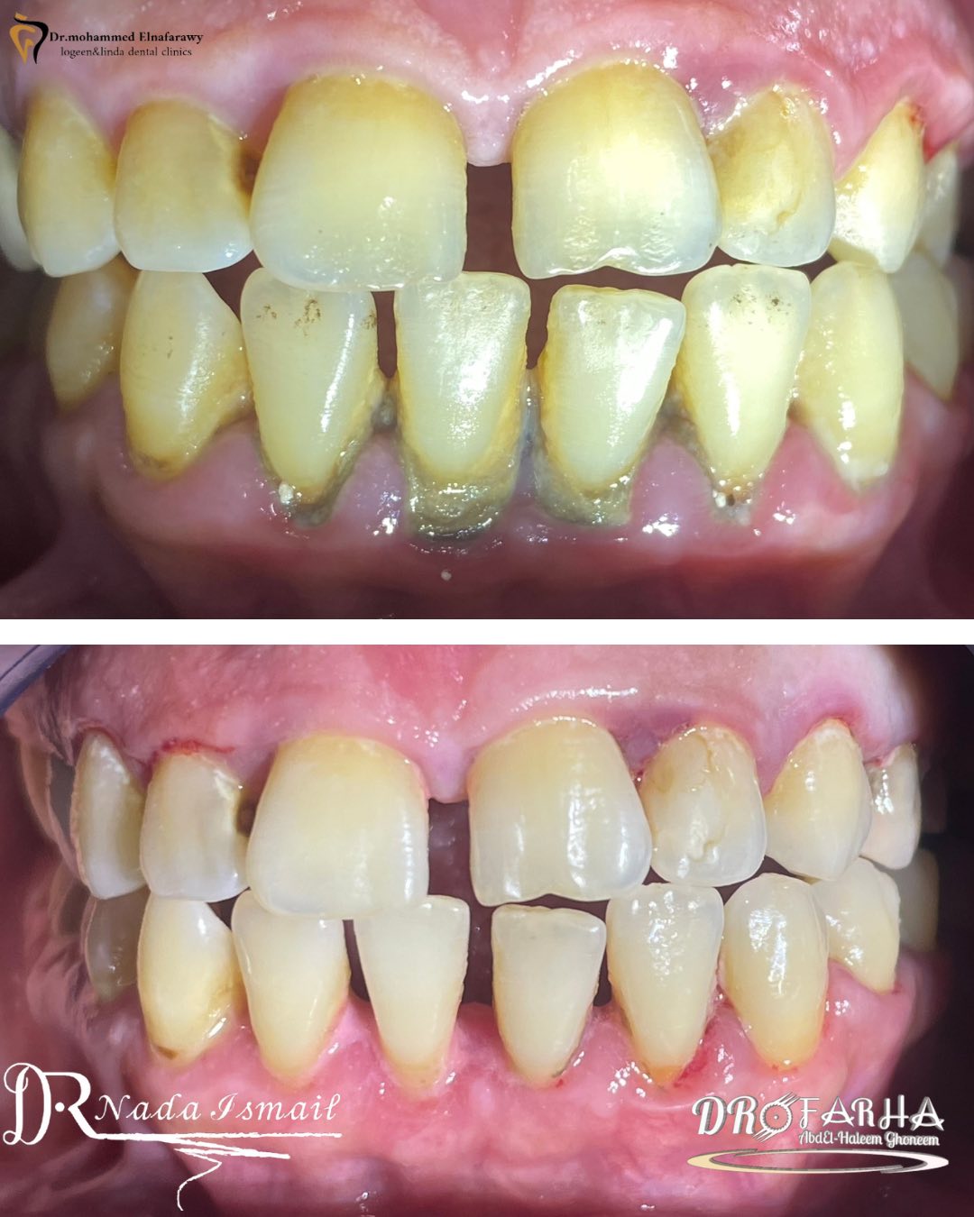
لو هدفك تنظيف الأسنان، العيادة بتقدم جلسات تنظيف احترافية بالموجات فوق الصوتية لإزالة الجير والبلاك من غير ألم، وبعدها تلميع الأسنان بمعجون طبي يخليها ناعمة ونضيفة. وكمان هتاخد نصائح مخصصة للعناية اليومية بأسنانك، من اختيار الفرشاة والمعجون الصح لحد أسلوب التنظيف السليم.

في حالة وجود تسوس، بيتم علاجه بحشوات تجميلية بنفس لون الأسنان عشان تحافظ على مظهر الابتسامة الطبيعي، وكل ده بيتم تحت تخدير موضعي بيخليك مرتاح طول الجلسة. ولو نفسك تحسن لون أسنانك، فيه جلسات تبييض احترافية بمواد آمنة وتقنيات إضاءة حديثة بتديك نتيجة واضحة وسريعة، مع إرشادات للحفاظ على اللون لفترة طويلة.

Drs/ Farha & Nada Dental Clinic كمان متميزة في حلول التقويم سواء المعدني أو الشفاف، مع متابعة دورية عشان النتيجة تكون مثالية. ولو في سن ناقص، بيتم تعويضه بزرعات أسنان عالية الجودة بعد فحص شامل وأشعة دقيقة لضمان الشكل الطبيعي والثبات.

صحة اللثة هنا أولوية، وده من خلال علاج الالتهابات وتنظيف الجيوب اللثوية بخطط متابعة دورية للحفاظ عليها. وللمقبلين على الزواج، العيادة بتقدّم باقات خاصة قبل الفرح تشمل فحص شامل، تنظيف، وتبييض، عشان الابتسامة تكون مثالية في الصور.

التعقيم في العيادة على أعلى مستوى، باستخدام أجهزة أوتوكلاف لتعقيم الأدوات وتطهير الغرف بعد كل مريض، عشان تبقى بيئة آمنة 100%. المواعيد مرنة، والحجز سهل سواء بالتليفون أو الواتساب، والأسعار واضحة من الأول من غير أي مفاجآت.

باختصار، مع Drs/ Farha & Nada Dental Clinic هتلاقي الخبرة، أحدث التكنولوجيا، والاهتمام براحتك، وكل ده عشان تخرج بابتسامة صحية وواثقة تدوم سنين.

مكان الخدمة:

طلب توثيق وإدارة الصفحة

قدّم طلبك لتوثيق وإدارة النشاط!

عدّل بيانات صفحتك علشان تعكس شغلك الحقيقي بكل تفاصيله. خلّي تواصلك مع العملاء دايمًا حاضر وواضح. كمان تقدر ترفع صور لأعمالك علشان كل عريس وعروسة يشوفوا شغلك بعينيهم ويختاروك بثقة. وجودك المميز على المنصة هو مفتاح جذب العملاء، وكل تفصيلة بتفرق!
هيتم إنشاء حسابك تلقائيا من البيانات . إذا كان لديك حساب بالفعل ، من فضلك تسجيل الدخول.

ملء النموذج