تسجيل الدخول

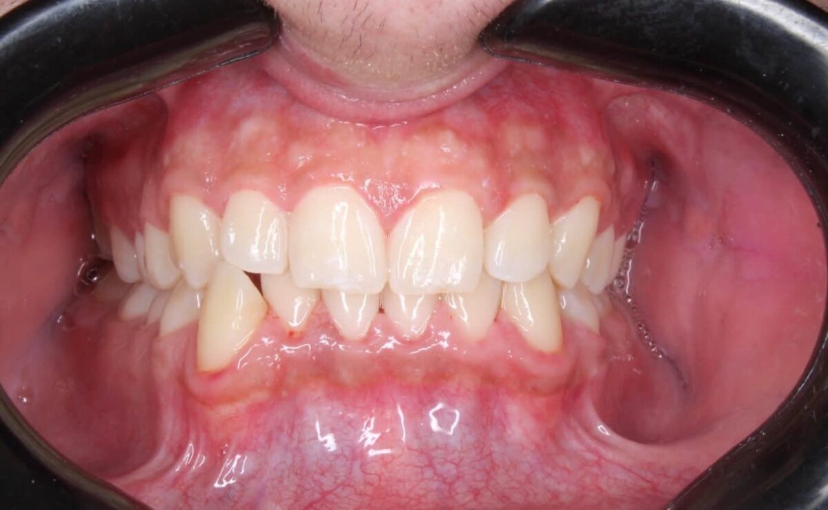
عيادة Dento Salama Clinic من العيادات اللي بقت ليها مكانة قوية جدًا في مجال طب وتجميل الأسنان في مصر، لأنها بتقدم خدمة طبية متكاملة فيها دقة، احتراف، وذوق عالي في التعامل مع المرضى. أول ما تدخل العيادة بتحس إنك في مكان راقي جدًا ومجهز على أعلى مستوى، فيه هدوء ونظافة وتنظيم يديك إحساس بالراحة والثقة فورًا.

الفريق الطبي في Dento Salama Clinic بقيادة دكاترة متخصصين في كل فروع الأسنان، معروفين بخبرتهم الكبيرة ودقتهم العالية في الشغل. بيبدأ كل فحص باستخدام أحدث الأجهزة الرقمية اللي بتوضح حالة الأسنان واللثة بدقة كبيرة جدًا، وبعد كده الدكتور بيشرح خطة العلاج خطوة بخطوة بطريقة بسيطة وواضحة علشان المريض يبقى فاهم ومطمن قبل ما يبدأ أي إجراء. الأسلوب ده بيخلي التعامل مريح جدًا، وبيخلي المريض يحس بالأمان والثقة في المكان من أول زيارة.

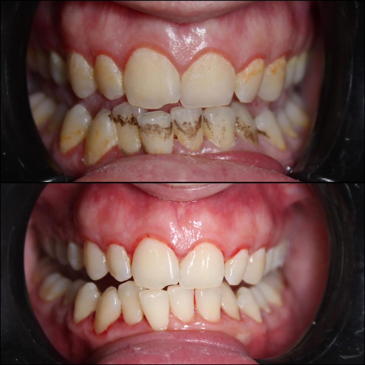
العيادة بتقدم كل الخدمات اللي ممكن تحتاجها، سواء علاجية أو تجميلية. في تنظيف وتلميع دوري للأسنان علشان تحافظ على صحتها ولمعتها، وكمان في حشوات تجميلية بنفس لون السنة الطبيعي علشان شكل الابتسامة يفضل طبيعي ومتناسق. علاج العصب بيتعمل هناك بأحدث الأجهزة وبتقنيات دقيقة جدًا بتقلل الألم وبتخلي الجلسة مريحة وسريعة، وده من أكتر الخدمات اللي الناس بتشكر فيها Dento Salama Clinic.

أما زراعة الأسنان فهي من المجالات اللي العيادة متميزة فيها جدًا. الزراعة بتتعمل بخامات عالية الجودة وباستخدام تقنيات رقمية حديثة بتخلي شكل الزرعة طبيعي وثابت كأنها السنة الأصلية بالضبط. النتيجة بتكون مثالية سواء في الشكل أو في الراحة، وبتخلي المريض يرجع يضحك بثقة وراحة كأنه عمره ما فقد أي سنة قبل كده.

وفي مجال تجميل الأسنان، Dento Salama Clinic فعلاً من الأماكن اللي بتقدم شغل راقي جدًا ونتائج ممتازة. الفينير واللومينير بيتعملوا هناك بدقة عالية واهتمام كبير بالتفاصيل علشان شكل الابتسامة يطلع طبيعي ومتناسق مع ملامح الوش. الخدمة دي مطلوبة جدًا خصوصًا من البنات والشباب اللي داخلين على الجواز وعايزين يظهروا بابتسامة مثالية في يومهم الكبير. كمان في جلسات تبييض احترافية بتدي نتيجة فورية وآمنة جدًا، وبتخلي الأسنان شكلها مشرق وناصع البياض من أول مرة.

العيادة كمان بتوفر باقات مخصصة للعناية قبل الفرح، ودي معمولة مخصوص للعرايس والعرايس اللي بيستعدوا ليومهم المميز. الجلسات دي بتشمل تنظيف شامل، تبييض، وتلميع وبعض اللمسات التجميلية حسب الحالة، علشان الابتسامة تكون مثالية ومتألقة في الصور والفيديوهات. الجلسات دي بتتعمل في جو راقي ومريح جدًا، والمريض بيخرج شايف فرق واضح وكبير من أول جلسة.

اللي بيميز Dento Salama Clinic فعلًا هو التنظيم العالي جدًا والمعاملة الراقية من كل أفراد الفريق. المواعيد هناك مظبوطة ومفيش انتظار طويل، والفريق المساعد محترف جدًا وبيتعامل بذوق وابتسامة دايمًا، وده بيخلق جو مريح جدًا ومليان طاقة إيجابية.

كمان الأجهزة اللي بيستخدموها حديثة ومتطورة جدًا، وكل الأدوات متعقمة بعناية لضمان الأمان الكامل للمريض. بعد الجلسة كمان في متابعة دقيقة علشان يتأكدوا إن الحالة مستقرة وإن المريض راضي تمامًا عن النتيجة، وده بيوضح قد إيه المكان بيهتم براحة ورضا كل شخص بيتعامل معاه.

باختصار، Dento Salama Clinic مش مجرد عيادة أسنان، لكنها تجربة علاجية متكاملة فيها علم واحتراف وذوق راقي. سواء محتاج علاج بسيط، زراعة، تجميل شامل، أو استعداد قبل الفرح، هناك هتلاقي كل اللي محتاجه بأسلوب راقي وشغل فعلاً يستحق الثقة. لو بتدور على مكان يهتم براحتك وابتسامتك، فـ Dento Salama Clinic هو الاختيار اللي أكيد هتخرج منه بابتسامة جميلة وواثقة من أول مرة.

مكان الخدمة:

طلب توثيق وإدارة الصفحة

قدّم طلبك لتوثيق وإدارة النشاط!

عدّل بيانات صفحتك علشان تعكس شغلك الحقيقي بكل تفاصيله. خلّي تواصلك مع العملاء دايمًا حاضر وواضح. كمان تقدر ترفع صور لأعمالك علشان كل عريس وعروسة يشوفوا شغلك بعينيهم ويختاروك بثقة. وجودك المميز على المنصة هو مفتاح جذب العملاء، وكل تفصيلة بتفرق!
هيتم إنشاء حسابك تلقائيا من البيانات . إذا كان لديك حساب بالفعل ، من فضلك تسجيل الدخول.

ملء النموذج