تسجيل الدخول

دكتور إسلام شومان من الأطباء اللي ليهم سمعة طيبة جدًا في مجال طب وتجميل الأسنان، وده لأنه بيجمع بين الخبرة الكبيرة والدقة العالية في الشغل، ومعروف بأسلوبه الهادئ والمريح اللي بيخلي المريض مطمن طول فترة العلاج. العيادة عنده متكاملة ومجهزة بأحدث الأجهزة اللي بتساعد على التشخيص والعلاج بسرعة ودقة، وكل التفاصيل فيها معمولة بعناية عشان المريض يطلع راضي وسعيد بالنتيجة.

من أول ما تدخل عيادة دكتور إسلام شومان بتحس إنك في مكان محترم ومنظم، من طريقة الاستقبال لأسلوب الدكتور في الشرح والتعامل. الكشف بيبدأ بفحص شامل للأسنان واللثة باستخدام تقنيات حديثة بتوضح كل حاجة بالتفصيل، وده بيساعده يحدد الحالة بدقة ويختار الخطة المناسبة سواء كانت علاجية أو تجميلية حسب كل مريض. الدكتور دايمًا بيهتم يشرح كل خطوة قبل ما يعملها، وده بيدي إحساس بالراحة والثقة في شغله.

من أكتر الخدمات اللي الناس بتطلبها عند دكتور إسلام شومان جلسات التنضيف والتلميع اللي بتشيل الترسيبات والبقع اللي بتتراكم على الأسنان مع الوقت وبتخليها شكلها نضيف ولمعتها راجعة زي الأول. الخدمة دي بتكون ضرورية لأي حد داخل على مناسبة زي الفرح أو كتب الكتاب لأنها بتخلي الابتسامة شكلها طبيعي ومشرق جدًا في الصور والفيديوهات.

كمان العيادة متخصصة في جلسات التبييض سواء بالليزر أو بالمواد التجميلية الحديثة اللي بتدي نتيجة فورية وآمنة جدًا. الخدمة دي من أكتر الحاجات اللي العرايس والعرايس الجُداد بيطلبوها قبل الفرح لأنها بتدي لون أبيض طبيعي وشكل جذاب يخلي الابتسامة شكلها مليان ثقة. الدكتور كمان بيختار نوع التبييض حسب حالة الأسنان عشان النتيجة تكون مثالية ومفيهاش أي ضرر أو حساسية.

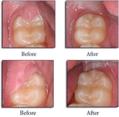
ولو فيه تسوس بسيط أو كسر، الدكتور بيقدّم الحشو التجميلي اللي بيكون بنفس لون السن الطبيعي، وده بيخلي الشكل النهائي متناسق جدًا ومش باين فيه أي فرق. كمان دكتور إسلام شومان بيقدّم خدمات متقدمة زي تركيب الفينير أو اللومينير اللي بيخلوا شكل الابتسامة متناسق وأنيق بطريقة طبيعية جدًا، وده من أكتر الحاجات اللي الناس بتختارها قبل الجواز لأنها بتدي شكل راقي وثقة كبيرة في النفس.

كمان الدكتور بيهتم بعلاج اللثة وتنضيفها من الالتهابات والتصبغات، لأن اللثة السليمة بتكمل شكل الابتسامة وبتدي مظهر صحي أكتر للأسنان. ولو الحالة محتاجة تقويم، سواء المعدني أو الشفاف، العيادة بتوفّر أحدث الأنواع اللي بتكون مريحة وسهلة الاستخدام ونتيجتها دقيقة جدًا.

العرايس والعرايس الجُداد ليهم اهتمام خاص عند دكتور إسلام شومان، لأنه بيقدملهم جلسات تبييض أو تلميع خفيفة قبل الفرح بأيام بسيطة عشان الابتسامة تكون في أحسن شكل. كمان الفريق هناك بيدي نصايح للعناية بالأسنان بعد الجلسة زي استخدام المعجون والغسول المناسبين، والابتعاد عن المشروبات اللي ممكن تغيّر اللون.

اللي بيروح لدكتور إسلام شومان بيلاحظ من أول مرة إن المكان فيه احترافية في الشغل، ومعاملة محترمة، ونتيجة دايمًا بتكون طبيعية وجميلة. أي حد داخل على حياة جديدة أو عايز يحافظ على شكل ابتسامته هيلاقي عند دكتور إسلام شومان المكان المثالي اللي يجمع بين الجودة، الراحة، والخبرة اللي تضمن ابتسامة واثقة وجميلة تدوم سنين.

مكان الخدمة:

طلب توثيق وإدارة الصفحة

قدّم طلبك لتوثيق وإدارة النشاط!

عدّل بيانات صفحتك علشان تعكس شغلك الحقيقي بكل تفاصيله. خلّي تواصلك مع العملاء دايمًا حاضر وواضح. كمان تقدر ترفع صور لأعمالك علشان كل عريس وعروسة يشوفوا شغلك بعينيهم ويختاروك بثقة. وجودك المميز على المنصة هو مفتاح جذب العملاء، وكل تفصيلة بتفرق!
هيتم إنشاء حسابك تلقائيا من البيانات . إذا كان لديك حساب بالفعل ، من فضلك تسجيل الدخول.

ملء النموذج