تسجيل الدخول

دكتور محمد أحمد رجب من الأطباء اللي قدروا يحققوا اسم قوي في مجال طب وتجميل الأسنان، وده بفضل خبرته الكبيرة ودقته العالية في الشغل، وكمان طريقته الهادئة والمريحة اللي بتخلي المريض مطمن وواثق طول فترة العلاج. العيادة عنده متكاملة ومجهزة بأحدث الأجهزة اللي بتساعد على التشخيص والعلاج بدقة وسرعة، وكل تفصيلة فيها معمولة بعناية عشان المريض يحس بالراحة من أول زيارة.

من أول ما تدخل عيادة دكتور محمد أحمد رجب بتحس إنك في مكان راقي ومنظم، من طريقة الاستقبال الهادئة لأسلوب التعامل المحترف من الدكتور والفريق المساعد. بيبدأ دايمًا بالكشف الكامل على الأسنان واللثة باستخدام أحدث الأجهزة اللي بتوضح الحالة بالتفصيل، وده بيساعده يحدد الخطة المناسبة سواء كانت علاجية أو تجميلية. الدكتور كمان معروف إنه بيشرح كل خطوة للمريض قبل التنفيذ، وده بيخلي التجربة مريحة وسهلة جدًا.

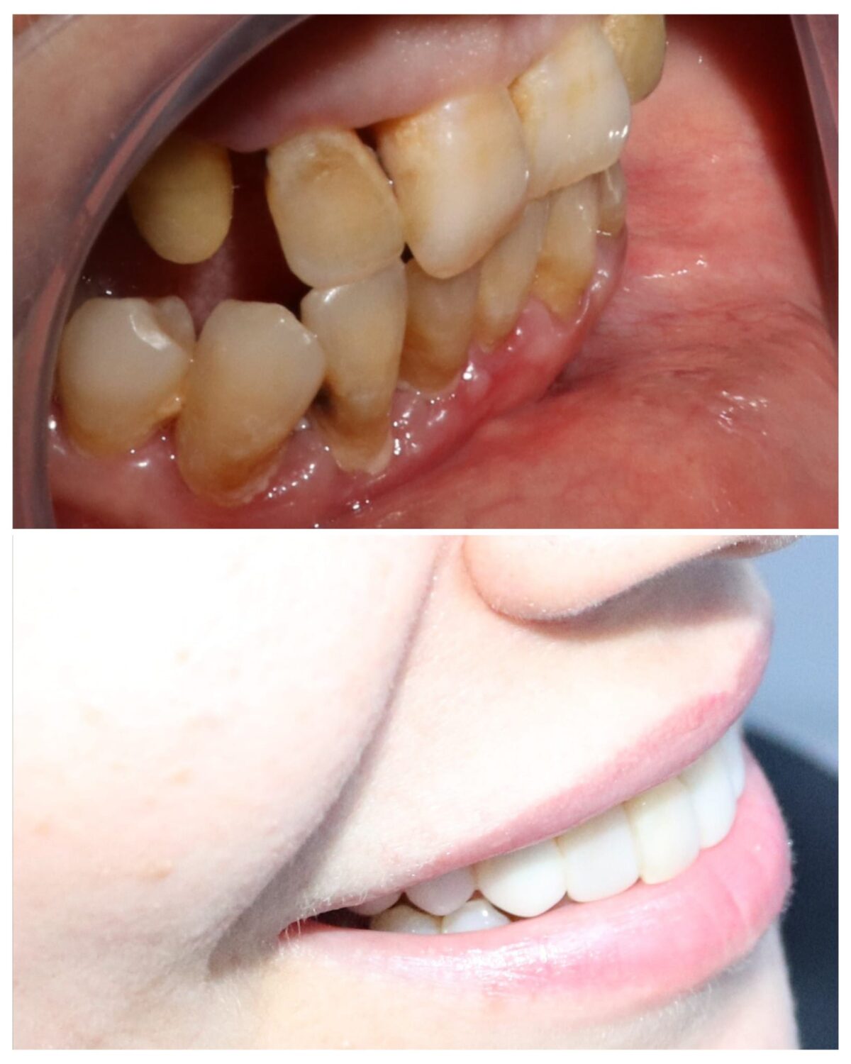
من أكتر الخدمات اللي الناس بتطلبها عند دكتور محمد أحمد رجب جلسات التنضيف والتلميع اللي بتشيل الترسيبات والبقع اللي بتتراكم على الأسنان مع الوقت، وبتخليها شكلها نضيف ولمعتها راجعة زي الأول. الخدمة دي بقت ضرورية جدًا لأي حد داخل على مناسبة زي الفرح أو كتب الكتاب لأنها بتدي شكل طبيعي ومشرق يخلي الابتسامة شكلها جميل جدًا في الصور والفيديوهات.

كمان العيادة متخصصة في جلسات تبييض الأسنان سواء بالليزر أو بالمواد التجميلية الحديثة اللي بتدي نتيجة فورية وآمنة جدًا. الخدمة دي من أكتر الحاجات اللي العرايس والعرايس الجُداد بيطلبوها قبل الفرح لأنها بتدي لون أبيض طبيعي وشكل جذاب يخلي الابتسامة شكلها مشرق وواثق. دكتور محمد أحمد رجب كمان بيهتم باختيار نوع التبييض المناسب حسب حالة الأسنان عشان النتيجة تكون مثالية ومفيهاش أي ضرر أو حساسية.

ولو فيه كسر بسيط أو تسوس، الدكتور بيقدّم خدمة الحشو التجميلي اللي بيكون بنفس لون السن الطبيعي، وده بيخلي الشكل النهائي متناسق جدًا ومش باين فيه أي فرق. كمان العيادة بتوفّر خدمات متقدمة زي تركيب الفينير أو اللومينير اللي بيخلوا شكل الابتسامة متناسق وراقي بطريقة طبيعية جدًا، وده من أكتر الحاجات اللي الناس بتختارها قبل الجواز لأنها بتدي شكل جميل وثقة كبيرة في النفس.

كمان العيادة بتهتم بعلاج اللثة وتنضيفها من الالتهابات والتصبغات، لأن اللثة السليمة بتكمل شكل الابتسامة وبتدي مظهر صحي أكتر للأسنان. ولو الحالة محتاجة تقويم، سواء المعدني أو الشفاف، العيادة بتوفّر أحدث الأنواع اللي بتكون مريحة وسهلة الاستخدام ونتيجتها دقيقة جدًا.

العرايس والعرايس الجُداد ليهم اهتمام خاص عند دكتور محمد أحمد رجب، لأنه بيقدملهم جلسات تبييض أو تلميع خفيفة قبل الفرح بأيام بسيطة عشان الابتسامة تكون في أحسن شكل في اليوم الكبير. كمان بيديهم نصايح للحفاظ على النتيجة بعد الجلسة زي استخدام المعجون والغسول المناسبين، والابتعاد عن المشروبات اللي ممكن تغيّر اللون.

اللي بيروح لدكتور محمد أحمد رجب بيلاحظ من أول زيارة إن المكان فعلاً مختلف، فيه احترافية في كل حاجة وشغل دقيق بيطلع بنتايج طبيعية ومبهرة. المعاملة هناك راقية جدًا، وكل حاجة معمولة بعناية واهتمام. أي حد داخل على حياة جديدة أو عايز يحافظ على شكل ابتسامته هيلاقي عند دكتور محمد أحمد رجب المكان المثالي اللي يجمع بين الجودة، الراحة، والرعاية اللي تضمن ابتسامة جميلة وواثقة تدوم سنين.

مكان الخدمة:

تقييمات الخدمة:

5.0
تقييم 2

طلب توثيق وإدارة الصفحة

قدّم طلبك لتوثيق وإدارة النشاط!

عدّل بيانات صفحتك علشان تعكس شغلك الحقيقي بكل تفاصيله. خلّي تواصلك مع العملاء دايمًا حاضر وواضح. كمان تقدر ترفع صور لأعمالك علشان كل عريس وعروسة يشوفوا شغلك بعينيهم ويختاروك بثقة. وجودك المميز على المنصة هو مفتاح جذب العملاء، وكل تفصيلة بتفرق!
هيتم إنشاء حسابك تلقائيا من البيانات . إذا كان لديك حساب بالفعل ، من فضلك تسجيل الدخول.

ملء النموذج