تسجيل الدخول

عيادة الدكتور حازم سلطان من العيادات اللي اكتسبت شهرة كبيرة جدًا في عالم طب وتجميل الأسنان في مصر، لأنها بتقدم مستوى عالي من الخدمة والدقة، وبتجمع بين الخبرة الكبيرة، الأجهزة الحديثة، والمعاملة الراقية اللي بتخلي المريض يعيش تجربة مريحة من أول لحظة. أول ما تدخل العيادة بتحس إنك داخل مكان أنيق ومتطور جدًا، فيه هدوء ونظافة وتنظيم بيديلك إحساس بالأمان والثقة فورًا.

الدكتور حازم سلطان معروف بدقته الكبيرة جدًا في الشغل واهتمامه بأدق التفاصيل في كل حالة. بيبدأ الجلسة بفحص شامل للأسنان واللثة باستخدام أحدث الأجهزة اللي بتوضح الحالة بدقة عالية، وبعد كده بيشرح للمريض خطة العلاج خطوة بخطوة بأسلوب بسيط وواضح علشان يبقى فاهم ومطمن قبل ما يبدأ أي إجراء. الأسلوب الهادي في التعامل بيخلي المريض مرتاح وواثق إنه في أيد أمينة فعلًا.

العيادة بتقدم مجموعة كبيرة من الخدمات اللي بتغطي كل احتياجات الأسنان، سواء علاجية أو تجميلية. في تنظيف وتلميع دوري للأسنان علشان تحافظ على صحتها ولمعتها، وكمان في حشوات تجميلية بنفس لون السنة الطبيعي علشان شكل الابتسامة يفضل طبيعي ومتناسق. علاج العصب بيتعمل عند الدكتور حازم سلطان بأحدث الأجهزة وبتقنيات دقيقة جدًا بتقلل الألم وبتخلي الجلسة مريحة وسريعة، وده من أكتر الخدمات اللي المرضى بيشكروا فيها.

أما زراعة الأسنان فهي من المجالات اللي الدكتور متميز فيها جدًا. الزراعة بتتعمل بخامات عالية الجودة وباستخدام تقنيات رقمية حديثة بتخلي شكل الزرعة طبيعي وثابت كأنها السنة الأصلية بالضبط. النتيجة بتكون ممتازة سواء في الشكل أو في الراحة، وبتخلي المريض يرجع يضحك بثقة كأنه عمره ما فقد أي سنة قبل كده.

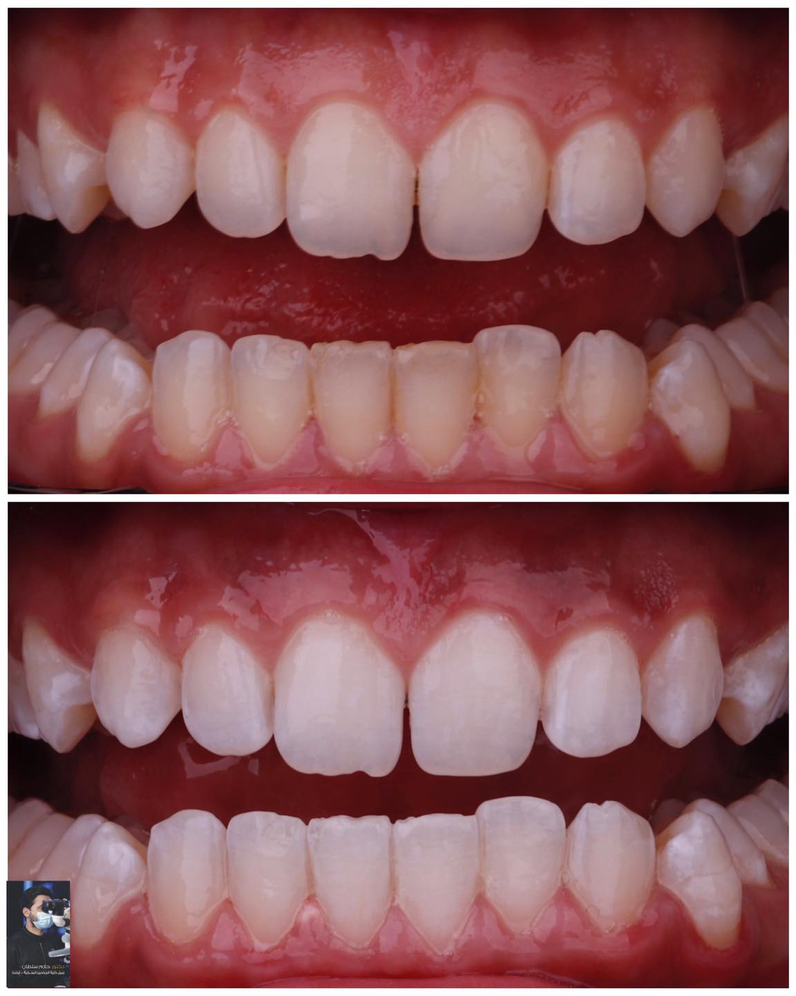
وفي مجال التجميل، الدكتور حازم سلطان فعلاً عنده ذوق فني واحتراف عالي جدًا. الفينير واللومينير بيتعملوا عنده بدقة واهتمام كبير علشان شكل الابتسامة يطلع طبيعي ومتناسق مع ملامح الوش. الخدمة دي مطلوبة جدًا خصوصًا من البنات والشباب اللي داخلين على الجواز وعايزين يظهروا بابتسامة مثالية في يومهم الكبير. كمان في جلسات تبييض احترافية بتدي نتيجة فورية وآمنة جدًا، وبتخلي الأسنان شكلها ناصع البياض ومشرق جدًا من أول جلسة.

العيادة كمان بتوفر باقات مميزة للعناية قبل الفرح، ودي معمولة مخصوص للعرايس والعرايس اللي بيستعدوا ليومهم الكبير. الباقات دي بتشمل تنظيف شامل، تبييض، وتلميع وبعض اللمسات التجميلية البسيطة حسب الحالة، علشان الابتسامة تكون مثالية ومتألقة في كل الصور والفيديوهات. الجلسات دي بتتعمل في جو راقي ومريح جدًا، والمريض بيخرج شايف فرق واضح وكبير من أول مرة.

اللي بيميز الدكتور حازم سلطان فعلًا هو أسلوبه الإنساني الراقي في التعامل مع المريض. المواعيد هناك مظبوطة ومفيش انتظار طويل، والفريق المساعد محترف جدًا وبيتعامل بذوق وابتسامة دايمًا، وده بيخلق جو مريح جدًا جوه العيادة.

كمان الأجهزة اللي بيستخدمها الدكتور حديثة ومتطورة جدًا، وكل الأدوات متعقمة بعناية لضمان الأمان الكامل للمريض. بعد الجلسة كمان في متابعة دقيقة من الفريق الطبي علشان يتأكدوا إن الحالة مستقرة وإن المريض راضي تمامًا عن النتيجة، وده بيوضح قد إيه المكان بيهتم براحة ورضا كل مريض بيتعامل معاه.

باختصار، عيادة الدكتور حازم سلطان مش مجرد مكان لعلاج الأسنان، لكنها تجربة متكاملة فيها علم، ذوق، واحتراف. سواء محتاج علاج بسيط، زراعة، تجميل شامل، أو استعداد قبل الفرح، هناك هتلاقي كل اللي محتاجه بأسلوب راقي وشغل فعلاً يستحق الثقة. لو بتدور على دكتور محترف، دقيق، وهادي في التعامل، فـ الدكتور حازم سلطان هو الاسم اللي أكيد هتخرج من عنده بابتسامة جميلة وواثقة من أول زيارة.

مكان الخدمة:

تقييمات الخدمة:

5.0
تقييم 65
  • Asmaa Khaled
    Asmaa Khaled
    قبل شهر

    شكراً جدا جدا لزوقكم سواء دكتور قمه ف الزوق والاحترام والاستف لذيذ والعياده نضيفه جدا جدا وتجربه لذيذه جدا شكرا جدا ليكم

  • amera Aboelkair
    amera Aboelkair
    قبل شهرين

    تجربة مطمئنة للغاية، دكتور بارع وخلوق يحرص على شرح كل خطوة بهدوء ووضوح، مما منحني شعورًا بالاطمئنان الكامل. العيادة منظمة ونظيفة للغاية، وكل الأدوات مُعقمة بعناية، ما أضاف إلى شعوري بالراحة والأمان. المساعدات ودودات جدًا ومتعاونات، ويتعاملن بأدب ولباقة مع المرضى. قسم الأطفال أيضًا رائع، والدكتورة لطيفة جدًا مع الأولاد، مما جعل تجربة الأطفال مريحة ومطمئنة. أنصح بهذه التجربة دون تردد

  • Nehal Elsaeid
    Nehal Elsaeid
    قبل شهرين

    كانت تجربتي مع الدكتورة دعاء والدكتور حازم رائعة حقًا. كانا هادئين وواضحين للغاية، ولم يستعجلا في أي شيء، وهذا ساعدني كثيرًا لأني أخاف من أطباء الأسنان. كان المكان نظيفًا للغاية، والعمل متقن، وكانا ودودين جدًا. بصراحة، غادرت العيادة وأنا سعيدة جدًا بالنتائج. ❤️

  • Sawsan Mansour
    Sawsan Mansour
    قبل شهرين

    طاقم عمل ممتاز وعيادة رائعة. شكرًا لك دكتور حازم.

  • eagle 204
    eagle 204
    قبل شهرين

طلب توثيق وإدارة الصفحة

قدّم طلبك لتوثيق وإدارة النشاط!

عدّل بيانات صفحتك علشان تعكس شغلك الحقيقي بكل تفاصيله. خلّي تواصلك مع العملاء دايمًا حاضر وواضح. كمان تقدر ترفع صور لأعمالك علشان كل عريس وعروسة يشوفوا شغلك بعينيهم ويختاروك بثقة. وجودك المميز على المنصة هو مفتاح جذب العملاء، وكل تفصيلة بتفرق!
هيتم إنشاء حسابك تلقائيا من البيانات . إذا كان لديك حساب بالفعل ، من فضلك تسجيل الدخول.

ملء النموذج